当前位置:肿瘤瞭望>资讯>正文

优例共赏丨一例HER2阳性晚期胃癌病例分享

作者:肿瘤瞭望   日期:2022/12/10 13:25:22  浏览量:12113

肿瘤瞭望版权所有,谢绝任何形式转载,侵犯版权者必予法律追究。

中国是胃癌大国,根据国家癌症中心2022年发布的2016年癌症统计数据,中国胃癌的发病率和死亡率在恶性肿瘤中均位居第3位

▌病例作者:徐菲、陈玲青岛市市立医院
▌点评专家:刘自民青岛大学附属医院
 
摘要:中国是胃癌大国,根据国家癌症中心2022年发布的2016年癌症统计数据,中国胃癌的发病率和死亡率在恶性肿瘤中均位居第3位[1],70%的胃癌患者确诊时为局部进展期或晚期胃癌。HER2阳性胃癌是一类高度异质性肿瘤,我国胃癌患者HER2阳性率为12~13%[2],肠型、男性患者阳性率更高。本文通过分享汉曲优®联合化疗治疗一例HER2阳性胃癌伴多发淋巴结、肺、肝转移病例,探讨HER2阳性晚期胃癌伴多发转移患者的临床获益情况。(注:本文中汉曲优为复宏汉霖研发生产的曲妥珠单抗)
 
病史简介
 
患者:男,58岁。
 
主诉:上腹胀痛不适半月。
 
既往史:无高血压、糖尿病等慢性病史。
 
家族史:母亲因“胃癌”去世。
 
查体:ECOG 1分,双侧颈部、锁骨上未及肿大淋巴结。双肺呼吸音粗,无啰音。心律齐,无杂音。上腹部压痛,无反跳痛,双下肢无水肿。
 
▌影像学检查
 
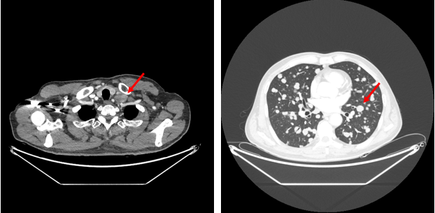
2022年6月2日胸部增强CT:双肺及左锁骨下多发占位,考虑转移。
 
图1.胸部CT
 
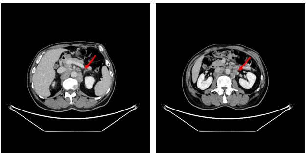
2022年6月2日全腹增强CT:胃癌并腹腔及腹膜后多发淋巴结转移;肝多发异常强化结节,考虑转移。
 
图2.全腹CT
 
▌肿瘤病理
 
2022-5-30入院前于当地行胃镜检查示胃角肿物,病理示(胃角)腺癌。
 
2022-6-8入院后行CT引导下左肺肿物穿刺活检,病理示:腺癌浸润,消化道源性。
 
免疫组化:HER2(2+)、Ki67(70%)。
 
FISH:HER2扩增。
 
基因检测示ERBB2低度扩增;微卫星状态MSS。
 
▌诊断
 
胃腺癌伴腹腔淋巴结、腹膜后淋巴结、左锁骨上淋巴结、肺、肝多发转移(Ⅳ期)
 
治疗经过
 
2022-6-8、6-29、7-21行3个周期曲妥珠单抗(汉曲优首次8mg/kg,后6mg/kg)靶向治疗+抗PD-1单抗200mg免疫治疗+XELOX方案化疗。第4周期前出现Ⅱ度骨髓抑制,白细胞、血小板减少,给予升白、升血小板治疗后于2022-8-13、9-3、9-24行第4、5、6周期曲妥珠单抗靶向治疗+抗PD-1单抗200mg免疫治疗+XELOX方案化疗,化疗后给予预防性升白治疗。
 
治疗后评价:
 
 
▌后续治疗方案
 
目前行胃姑息放疗中,靶区:CTV包全胃、CTV外扩5mm为PTV。
 
剂量5040cGy/180cGy/28f。同步汉曲优靶向联合抗PD-1单抗免疫治疗。
 
▌病例小结
 
根据2022 CSCO胃癌指南推荐,晚期胃癌一线治疗可分为三层,HER2阳性Ⅰ级推荐可选择曲妥珠单抗联合铂类+氟尿嘧啶类双药化疗。Ⅱ级推荐为免疫联合曲妥珠单抗联合双药化疗。HER2阴性患者推荐为免疫联合化疗。dMMR/MSI-H,无论HER2的状态Ⅱ级推荐为免疫单药。
 
从指南可以看出,HER2阳性胃癌是一类特殊的疾病亚型,需抗HER2治疗。并且免疫联合化疗目前在晚期胃癌或可考虑全人群推荐。该患者为HER2阳性胃癌伴腹腔淋巴结、腹膜后淋巴结、左锁骨上淋巴结、肺、肝多发转移。给予曲妥珠单抗靶向治疗+抗PD-1单抗免疫治疗+XELOX方案化疗4周期后取得了PR的状态,肺上的病灶几乎消失,转移淋巴结也有了非常明显的缩小。CA199从初治前的5413U/ml恢复到正常范围。
 
曲妥珠单抗作用于HER2受体胞外结构域Ⅳ,阻断同源二聚体的形成,从胞外阻断信号传导。ToGA研究已经证实HER2状态可用于筛选曲妥珠单抗治疗的潜在获益人群[3]。中国的前瞻性大样本队列观察研究和日本的回顾性研究结果均表明,在真实世界研究(real world study,RWS)中,HER2阳性晚期胃癌患者可以从曲妥珠单抗治疗中获益[4,5]。Gomez-Martin等的研究进一步显示,在接受曲妥珠单抗治疗的晚期胃癌患者中,HER2基因扩增水平的高低可以用来预测晚期胃癌患者对曲妥珠单抗治疗的敏感性和总生存获益。因此,在该病例中给予患者抗HER2靶向治疗是非常必要的。
 
专家点评
 
胃癌是我国高发的消化道恶性肿瘤,2020年中国癌症新发病例457万例,其中胃癌48万例位居第三[1]。HER2阳性胃癌是一种特殊类型,具有高度异质性、侵袭性强、复发率高、预后不良的特点。中国人群胃癌HER2阳性率约为12~13%[6]
 
ToGA研究入组了584例未经化疗的HER2阳性晚期胃癌患者,结果证实曲妥珠单抗+化疗对比安慰剂+化疗,中位OS分别为13.8个月和11.1个月,曲妥珠单抗在HER2表达水平较高患者中尤其有效,这类患者的中位OS为16.0个月。基于此,化疗+曲妥珠单抗成为了HER2阳性晚期胃癌患者的一线治疗标准[3]。免疫治疗也为HER2阳性胃癌带来生存获益,KEYNOTE-811研究的首次中期分析显示,HER2阳性胃癌患者帕博利珠单抗联合治疗组较对照组将ORR从51.9%提高到74.4%[7]。2022 CSCO胃癌诊疗指南Ⅰ级推荐HER2阳性晚期胃癌患者应予化疗联合曲妥珠单抗和免疫治疗[8]
 
汉曲优是曲妥珠单抗的生物类似药,完整的相似性评价证实了汉曲优与原研曲妥珠单抗疗效等效、安全性相似[9]。NCCN、ESMO指南均支持经批准的生物类似药可合理替代曲妥珠单抗[10]。根据2020年《中国生物类似药专家共识》规定:生物类似药与参照药疗效等同、安全性相似,临床上可以替代使用。尽管生物类似药在研发阶段只在一个适应证开展了临床试验,根据“适应证外推”原则,可获得参照药的其他所有具有相同作用机制的适应证[11]。2020年,汉曲优同时在中国获得转移性乳腺癌、早期乳腺癌和转移性胃癌三个适应证,这为HER2阳性的转移性胃癌患者带来更多的治疗选择。
 
随着免疫治疗的兴起,免疫检查点抑制剂+抗HER2治疗能否给晚期HER2阳性胃癌患者带来新的希望呢?KEYNOTE-811研究给出了答案,帕博利珠单抗联合曲妥珠单抗和化疗可以将HER2阳性晚期胃癌患者ORR提升至74.4%[12]。ORIENT-16研究提示信迪利单抗联合化疗在晚期胃癌一线治疗显示出OS和PFS获益,并具有可接受的安全性。基于这些研究进展,本例患者选用了曲妥珠单抗+抗PD-1单抗+XELOX方案进行治疗,疗效达到了PR,为将来进一步探讨此类患者的治疗做出了尝试[13]
 
本例患者是1例晚期HER2阳性胃癌,伴有多处淋巴结、肺、肝转移,经过信迪利单抗+曲妥珠单抗(汉曲优)+XELOX方案化疗4周期后疗效评价达到PR,肺上的病灶几乎消失,转移淋巴结也有了非常明显的缩小。治疗过程中仅观察到胃肠道反应,心脏、肝肾功能毒性及免疫治疗相关毒性均未出现。证实了化疗联合汉曲优和抗PD-1单抗对晚期HER2阳性胃癌疗效和安全性。
 
▌参考文献
 
[1]Zheng R,Zhang S,Zeng H,et al.Cancer incidence and mortality in China,2016[J].Journal of the National Cancer Center,2022.
 
[2]左婷婷,郑荣寿,曾红梅,等.中国胃癌流行病学现状.中国肿瘤临床,2017,4(1):52-58.
 
[3]Bang Y J,Cutsem E V,Feyereislova A,et al.Trastuzumab in combination with chemotherapy versus chemotherapy alone for treatment of HER2-positive advanced gastric or gastro-oesophageal junction cancer(ToGA):a phase 3,open-label,randomised controlled trial[J].LANCET-LONDON-,2010.
 
[4]Kurokawa Y,Sugimoto N,Miwa H,et al.Phase II study of trastuzumab in combination with S-1 plus cisplatin in HER2-positive gastric cancer(HERBIS-1)[J].British Journal of Cancer,2014,110(5).
 
[5]Kozo K,Masanori T,Junki M,et al.A randomized Phase II trial of systemic chemotherapy with and without trastuzumab followed by surgery in HER2-positive advanced gastric or esophagogastric junction adenocarcinoma with extensive lymph node metastasis:Japan Clinical Oncology Group study JCO[J].Japanese Journal of Clinical Oncology,2015(11):1082-1086.
 
[6]陈凛,郗洪庆,李佶阳.胃癌肝转移规范化治疗[J].中国实用外科杂志,2014,34(07):619-621.
 
[7]Janjigian Y Y,Kawazoe A,Yaez P,et al.The KEYNOTE-811 trial of dual PD-1 and HER2 blockade in HER2-positive gastric cancer[J].Nature,2021,600.
 
[8]中国临床肿瘤学会指南工作委员会.胃癌诊疗指南2022版[J].2022.
 
[9]Xu B,Zhang Q,Sun T,et al.HLX02-BC01 Investigators.Efficacy,Safety,and Immunogenicity of HLX02 Compared with Reference Trastuzumab in Patients with Recurrent or Metastatic HER2-Positive Breast Cancer:A Randomized Phase III Equivalence Trial.BioDrugs.2021,35(3):337-350.
 
[10]NCCN Clinical Practice Guidelines in Oncology(NCCN Guidelines®)Breast Cancer,NCCN Guidelines for Patients®available at www.nccn.org/patients[J].2022.
 
[11]生物类似药临床应用管理专家共识(第一版)[J].中华医学杂志,2020,100(38):2982-2989.
 
[12]Janjigian Y Y,Kawazoe A,Yaez P,et al.The KEYNOTE-811 trial of dual PD-1 and HER2 blockade in HER2-positive gastric cancer[J].Nature,2021,600.
 
[13]XU JM,JIANG HP,PAN YY,et al.Sintilimab plus chemotheray(chemo)versus chemo as the first-line treatment for advanced gastric or gastroesophageal junction(G/GEJ)adenocarcinoma(ORIENT-16)[EB/OL].2021ESMO.LBA53.https://clinicaltrials.gov/.NCT03745170.
 
病例作者简介
徐菲
青岛市市立医院本部肿瘤三科,主治医师,医学博士
山东省临床肿瘤学会肿瘤放射治疗专家委员会青委会委员
山东省研究型医院协会精准肿瘤学分会肺肿瘤学组委员
山东省疼痛医学会头颈肿瘤专业委员会委员
 
陈玲
青岛市立医院肿瘤三科负责人
医学博士,副主任医师,硕士研究生导师
青岛优秀青年医学专家
山东省抗癌协会姑息治疗分会委员
山东省抗癌协会肺癌分会青年委员会委员
青岛市抗癌协会老年肿瘤专业委员会常务委员、秘书
山东省医师协会肿瘤科医师分会委员
青岛市医学会肿瘤学专科分会青年委员会委员
 
点评专家简介
刘自民
医学博士,主任医师,硕士研究生导师
青岛大学附属医院消化肿瘤诊治中心副主任
中国临床肿瘤学会理事
中国抗癌协会神经内分泌肿瘤专业委员会常委
中国医促会消化肿瘤综合诊疗学分会常委
中国临床肿瘤学会胃肠间质瘤专家委员会委员
中国临床肿瘤学会神经内分泌肿瘤专家委员会委员
中国临床肿瘤学会智慧医疗、患者教育专家委员会委员
山东省医师协会神经内分泌肿瘤专业委员副主任委员
山东省疼痛医学会化疗专业委员会副主任委员
山东省研究型医院协会肿瘤精准治疗分会副主任委员
山东省医师协会肿瘤精准医疗分会常委
山东省抗癌协会生物治疗分会常委
山东省抗癌协会消化道肿瘤专委会常委
山东免疫学会肿瘤分子标志物与靶向治疗专业委员会常委
青岛市医学会精准医学分会主任委员

本内容仅供医学专业人士参考


胃癌

分享到: 更多