编者按:本期“例精图治”,广西医科大学第一附属医院肿瘤内科的周圣圣医师分享了一例晚期HER2+胃癌合并肝肺转移患者的治疗过程,该患者初诊时经过FISH检测发现HER2扩增,遂给予规范化的抗HER2治疗,很好的将疾病进行了控制,使患者达到了PR。后经液体活检患者未检出ERBB2。该病例提示,及早检出并给予规范的治疗,患者可以达到PR,并实现更长OS。
张X,男,52岁,公务员。因“咳嗽、咳痰1月,加重10余天”于2018年3月5日入我院呼吸内科;
现病史:患者咳嗽、咳痰1月。
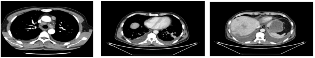
外院CT检查提示:1、两肺多发斑片状、结节影,性质待定,转移瘤?2、纵隔内多发肿大淋巴结;3、肝实质多发稍低密度影,性质待定(转移瘤可能性大)
肿瘤标志物示:癌相关抗原CA242>500u/mL;癌胚抗原测定 39.51ug/L;CA125:125.95U/mL,
支气管镜示:双侧支气管炎症改变。
灌洗液涂片:见少量腺癌细胞。
胃镜示:胃体大片状病变性质待查(胃体ca?),考虑恶性肿瘤收入院;
既往史:高血压病史6年,最高血压130/100mmHg,规律予络活喜降压,2011年因“房颤”行射频消融术;
个人史:饮酒30余年,每月3次左右,高度白酒(56度),约半斤/次;
查体:PS 1分,S 1.83,左侧颈部可触及一约花生米大小淋巴结。
2018-03-08 PET/CT示:胃癌(?)并全身多发淋巴结转移、肝脏多发转移、双肺上叶多发转移;


2018-3-14经皮肝穿病理:符合胃癌并肝转移。
病理示:(肝)癌。
免疫组化结果:Glypican-3(-),Hepatocyte(-)不支持肝细胞癌,NapsinA(-),TTF-1(-),不支持肺癌转移;CEA(+),CK(+),CK19(+),CK20(-)CK7(+)。
(胃)中-低分化腺癌,取材浅,组织碎,未知深部浸润情况;
免疫组化:P21(-/+),CEA(+),P53(+),Ki67阳性率约为60%,D2-40(-),HER2(2+);
HER2荧光原位杂交检测结果判读:HER2基因有扩增


糖基抗原CA242>157.50U/mL;
糖基抗原CA724>300.00U/mL;
血常规、血生化:未见异常;
心脏超声:EF 78%;
二代测序结果:ERBB2拷贝数增加n=3.01(血浆)/n=3.02(新鲜组织)
KRAS及NRAS野生型、MET拷贝数增加n=8.79(血浆)/n=11.61(新鲜组织)
诊断:胃低分化腺癌合并肝、肺转移,并多发淋巴结转移HER2扩增
诊疗经过
2018-03-16至2018-5-9 予SOX+赫赛汀3周期
奥沙利铂 240mg/d1+替吉奥120/d1-14,赫赛汀440mg,出现IV度血小板下降,剂量减少20%。
2018-6-14至2018-10-19予5周期SOX+赫赛汀
奥沙利铂 190mg/d1+替吉奥 100mg/d1-14,赫赛汀440mg/d1。
2018-11-14 CT(8周期化疗后):PD?


2018-11-19 PET/CT
胃壁代谢稍增高但未见明确的肿物,肝内低代谢结节考虑转移瘤治疗后活性减低,纵膈及右肺门两个淋巴结代谢增高,考虑转移瘤活性尚存、左侧颞骨局部骨质破坏并代谢增高,考虑转移瘤。

经科内讨论,建议患者继续原方案SOX+赫赛汀化疗,左侧颞顶交界区骨质破坏局部射波刀治疗。
2018-12-05行左颞骨病灶射波刀立体定向放疗,剂量:40Gy/3f。
2018-12-11行肝内病灶射波刀立体定向放射治疗,具体为:肝转移瘤病灶(4个)40Gy/3f;
2018-12-19、2019-01-23、2019-5-23、2019-7-11、2019-9-20、2019-12-9予6周期维持治疗(曲妥珠单抗440mg/d1+替吉奥 100mg/d1-14)


2020年4月复查:持续PR
肿瘤标志物:均正常
肝功能正常。
增强CT示:肝硬化
肝异常强化灶
考虑酒精性肝硬化可能性大,未基线使用替吉奥维持治疗。

2020-06-18复查胃镜
胃镜:1、食管静脉曲张(中度)2、胃体肿物:Ca? 3、胃体息肉(已钳除)4、门脉高压性胃病;
病理内镜诊断:1、(胃体息肉)低级别腺瘤性息肉。HP(-)。2、(胃体肿物)高级别上皮内瘤变,因取材表浅,未见浸润,故未能诊断为癌;
胃癌并肝转移化疗后,肝内转移灶大致同期;
慢性肝病,脾大、门脉高压(食管下段-胃底静脉曲张);
双肾小囊肿;
右肺中叶外侧段、左肺上叶下舌段及右肺下叶后基底段慢性炎症;
右肺上叶前段实性微小结节,炎性结节?建议定期复查;
纵隔淋巴结转移瘤,复查大致同前。


液体活检结果:



病理报告结果:

病史小结:

治疗相关问题:
增强CT评估,目前疗效评估为持续PR,按PET/CT评估,胃部有新发病灶,疗效PD,患者目前疗效评估?
患者肝硬化原因不明确,考虑酒精性肝硬化可能性大,不除外化疗药物相关,下一步化疗药物?
患者液体活检示ERBB2未见突变,是否要抗HER2治疗?
专家点评
一般而言,失去手术根治机会的晚期胃癌,中位生存期难以超过12个月。本病例为分期较晚的胃癌患者,合并肝肺多发转移及骨转移,经过规范的化疗联合靶向(曲妥珠单抗,商品名:赫赛汀),将疾病很好地控制,甚至PR(部分退缩),使病人生存期已经达18个月,估计还会更长,我们拭目以待。这是非常成功的病例!
该病例的治疗有几点值得我们借鉴:
1、明确为晚期胃癌合并肝脏及肺部多发转移后,及时检测原发胃癌标本的HER2表达情况。免疫组化显示HER2(++),加做FISH,确认为HER2阳性。这为后期的靶向治疗奠定的基础。
2、按日本第5版《胃癌治疗指南》,HER2阳性晚期胃癌的A类推荐一线治疗为三药联合,即卡培他滨,顺铂,赫赛汀。该推荐来源于2010年Lancet发表的ToGA研究。该研究显示,双药化疗联合赫赛汀可将HER2阳性的晚期胃癌的中位生存期延长至16个月。本病例将化疗方案调整为适合东方人群的SOX化疗方案联合赫赛汀,取得了很好的效果。
3、EVIDENCE研究显示中国人群的HER2阳性晚期胃癌,以赫赛汀与奥沙利铂/卡铂+5-FU/S-1/卡培他滨联用,OS(总体生存)较ToGA研究的要长6个月左右。【参考:Shukui Qin, et al. J Clin Oncol 37,2019 (suppl; abstr 4025)】本病历符合EVIDENCE的研究结论。
4、对于失去了手术根治机会的晚期胃癌,适当的局部治疗是有一定的价值的。如对左颞骨转移病灶及肝转移灶以射波刀治疗,不但可以减少局部疼痛,提高生活质量,对于提高病人的总体生存也可能有一定的作用。
5、众所周知,胃癌的异质性很强,所以本病例定期行二代测序(NGS)及液体活检,了解肿瘤基因的变化情况。虽然其临床应用价值还需更研究去证实,但在精准医疗时代,这是一个很好的探索。本病例在后期的液体活检中ERBB2未检出突变,故停止了赫赛汀的治疗,仅以替吉奥维持治疗。
总之,HER2阳性晚期胃癌较HER2阴性晚期胃癌的预后更差,但当规范靶向治疗及化疗能及时跟上,预后可以大大提高。一般而言,胃癌HER2阳性率仅仅10%-15%左右,所以一定注意多点取材,及时规范固定标本,必要时加做FISH检测,尽量让这部分病人获得规范治疗,从而延长生存期。
广西医科大学第一附属医院肿瘤内科主治医师
硕士研究生
2013年毕业于广西医科大学肿瘤学专业
发表中文核心、SCI论文数篇
中南大学湘雅医院胃肠外科主任
医学博士,研究生导师,主任医师
中国医师协会微创外科医师委员会青委
中国医师协会胃肠道间质瘤诊疗专业委员会委员
中国抗癌协会胃肠间质瘤专业委员会委员
湖南省医学会胃肠间质瘤学组组长
湖南省医学会腹腔镜及内镜外科学组副组长
湖南省抗癌协会老年肿瘤专业委员会副主任委员
湖南省抗癌协会胃癌专业委员会委员
湖南省抗癌协会大肠癌专业会委员
《中国普通外科杂志》执行编委